Sie haben noch kein Konto?
Jetzt registrieren
Typ-1-Diabetes (T1D) ist eine Autoimmunerkrankung, bei der die insulinproduzierenden Betazellen zerstört werden. Die Entwicklung des T1D wird in vier Stadien unterteilt:
Retifanlimab, der Wirkstoff in Zynyz®, ist ein Checkpoint-Inhibitor, der den PD-1-Signalweg blockiert. Das Medikament kommt in zwei Indikationen bei Erwachsenen zum Einsatz:
Mit Exdensur® steht erstmalig in der EU ein Interleukin-5-Biologikum mit einem Dosierungsintervall von sechs Monaten im Indikationsbereich schwerer Atemwegserkrankungen zur ...
Ohne den Einsatz stark wirksamer Opioide wäre bei vielen Patient:innen eine ausreichende Schmerztherapie kaum realisierbar.
Die pulmonale arterielle Hypertonie (PAH) gehört zu den seltenen Erkrankungen. Sie ist eine spezielle Form des Lungenhochdrucks, die entsteht, weil sich durch fortschreitende ...
Morbus Basedow (Graves’ Disease) ist eine Autoimmunerkrankung der Schilddrüse, bei der Antikörper gegen die TSH-Rezeptoren auf den Follikelzellen des Organs gebildet werden. Das führt ...
Tenosynoviale Riesenzelltumore (Tenosynovial Giant Cell Tumours, TGCT) sind seltene Tumore der Gelenke, Sehnen und/oder Schleimbeutel, die in der Regel gutartig, aber lokal aggressiv sind ...
Myasthenia gravis (MG) ist eine seltene neuromuskuläre Erkrankung. Charakteristisch ist eine belastungsabhängige Schwäche und rasche Ermüdbarkeit der Skelettmuskulatur, die sich nach ...
Im zweiten Anlauf hat es Clascoteron zur Zulassung geschafft: Der Vertreter einer neuen Wirkstoffklasse, der Androgenrezeptor-Inhibitoren, darf nun doch zur topischen Therapie der Akne ...
Ein Triglyceridsenker gegen Apolipoprotein C-III bei familiärem Chylomikronämie-Syndrom.
Gebärmutterhalskrebs zählt weltweit zu den häufigsten Krebserkrankungen bei Frauen.
Die medikamentöse Inhibition der Isocitratdehydrogenase (IDH) ist ein interessantes neues Therapieprinzip, das bereits bei akuter myeloischer Leukämie und Gallengangskarzinomen eingesetzt ...
Antikörper Donanemab bei Alzheimer-Erkrankung im Frühstadium.
Für die Therapie der Multiplen Sklerose steht ein weiteres Fumarat zur Verfügung.
Das kleinzellige Lungenkarzinom (SCLC) gilt trotz therapeutischer Fortschritte weiterhin als eine der aggressivsten Tumorentitäten der Onkologie: Es macht nur rund 15 % aller ...
Givinostat ist der erste HDAC-Hemmer bei Duchenne-Muskeldystrophie.
Eine orale Therapie, um Phenylalanin-Spiegel im Blut deutlich zu senken.
PI3K-Inhibitor für PIK3CA-mutierte, HR-positive,HER2-negative Mammakarzinome in Kombinationstherapie
Zystische Fibrose (CF, Mukoviszidose) ist eine seltene, genetisch bedingte Krankheit. Mehr als die Hälfte der geschätzt 110.000 Betroffenen weltweit lebt in Europa. In Österreich kommen ...
In sehr seltenen Fällen liegt bei Menschen, die unstillbaren Hunger haben und daher bereits als Kinder stark adipös sind, ein genetischer Defekt vor. Das ist zum Beispiel beim ...
Für Polyneuropathie-Patient:innen im Zusammenhang mit hereditärer Transthyretin-vermittelter Amyloidose.
Ein 21-valenter Pneumokokken-Konjugatimpfstoff für Erwachsene zur aktiven Immunisierung.
Repotrectinib ist ein neuer Tyrosinkinase-Hemmer zur Therapie bestimmter solider Tumore.
Der monoklonale Antikörper Crovalimab hemmt gezielt das Komplementprotein C5. Dadurch wird die Zerstörung der Erythrozyten bei PNH verhindert.
Ein orales Medikament mit innovativem Wirkmechanismus über HIF-2α-Inhibition zur Therapie bei fortgeschrittenem Nierenzellkarzinom und VHL-Syndrom.
Das hereditäre Angioödem (HAE) ist eine seltene Erbkrankheit. In Österreich sind schätzungsweise 220 Patient:innen betroffen, weltweit ist es einer von 50.000 Menschen.
Die primär biliäre Cholangitis (PBC) ist eine seltene, chronische Autoimmunerkrankung der Gallengänge. In Europa betrifft die Erkrankung etwa 22 von 100.000 Menschen.
Mit Nemluvio® steht nun eine neue Option zur Therapie der atopischen Dermatitis und des Prurigo nodularis zur Verfügung.
Amyloidosen sind eine Gruppe unterschiedlicher, seltener Krankheiten. Allen gemeinsam sind extrazelluläre Ablagerungen fehlgefalteter Eiweiße. Diese Proteine können sich lokal begrenzt ...
Patient:innen mit invasiver Candida-Infektion sind lebensbedrohlich krank.
Lungenkrebs ist bei Männern weltweit die häufigste, bei Frauen die zweithäufigste maligne Erkrankung.
Vor fünf Jahren rief die WHO anlässlich der raschen Ausbreitung von COVID-19-Infektionen offiziell eine Pandemie aus.
Bei der Hämophilie handelt es sich um eine vererbte Blutgerinnungsstörung, die auf Mutationen der für Faktor VIII bzw. Faktor IX kodierenden Gene beruht. Da diese Gene auf dem X-Chromosom ...
Etwa 750 Frauen erhalten in Österreich jedes Jahr die Diagnose Eierstockkrebs. Die häufigste Histologie – das hochgradige seröse epitheliale Ovarialkarzinom – wird aufgrund gemeinsamer ...
Das Karzinom der Harnblase (Urothelkarzinom) ist ein häufiger Tumor des höheren Lebensalters, das mittlere Erkrankungsalter liegt bei über 70 Jahren.
Für die Behandlung einer symptomatischen Anämie bei Patient:innen mit chronischer Nierenerkrankung (chronic kidney disease, CKD) steht mit Vadadustat ein weiterer Wirkstoff zur Verfügung.
Bereits 2019 wurde Cefiderocol am Infektionskongress als eine der interessantesten Substanzen der Forschung vorgestellt, da es gefährliche Carbapenem-Resistenzmechanismen umgehen kann.
Die primäre biliäre Cholangitis (PBC) ist eine seltene Autoimmunerkrankung. Sie führt zu einer chronischen Entzündung mit zunehmender Vernarbung der kleinen Gallengänge in der Leber und ...
Die Akanthamöbenkeratitis (AK) ist eine seltene parasitäre Infektionskrankheit des Auges, bei der Einzeller der Gattung Acanthamoeba eine Hornhautentzündung (Keratitis) verursachen.
Aus der Kombination von Cefepim, einem bekannten Cephalosporin der vierten Generation, und dem neuen Beta-Lactamase-Hemmer Enmetazobactam wurde ein neues Medikament entwickelt: ...
Die thrombotisch-thrombozytopenische Purpura (TTP) ist eine sehr seltene, schwere Erkrankung, bei der sich kleine Blutgerinnsel bilden, die die Blutversorgung der kleinen Blutgefäße im ...
Knapp 5.000 Personen erhalten in Österreich jedes Jahr die Diagnose Darmkrebs (kolorektales Karzinom, CRC). Wird die Erkrankung frühzeitig erkannt und behandelt, sind die Heilungschancen ...
Das Mammakarzinom nimmt unter den Krebsformen eine dominante Stellung ein. Mit mehr als 140.000 Todesfällen im Jahr 2022 zählt Brustkrebs zu den häufigsten tumorbedingten Todesursachen in ...
Die primäre Immunglobulin-A-Nephropathie (IgAN) ist eine chronische Nierenerkrankung, die durch eine abnorme Ablagerung von IgA-Antikörpern in beiden Nieren gekennzeichnet ist. Dies kann zu ...
Die Amyotrophe Lateralsklerose (ALS) ist eine fortschreitende Erkrankung des Nervensystems, die durch eine allmähliche Degeneration jener Nervenzellen im Gehirn und Rückenmark ...
Ein Antikörper gegen Muskelschwäche.
Mukoviszidose (cystic fibrosis, CF) ist eine seltene, angeborene Stoffwechselerkrankung, die durch eine Veränderung im Mukoviszidose-Gen, dem CFTR-Gen (Cystic Fibrosis Transmembrane ...
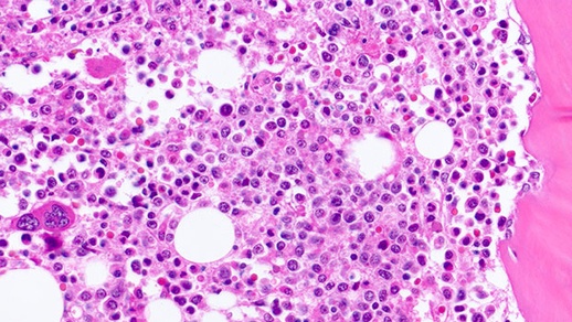
Das Multiple Myelom (MM) ist eine aggressive und bislang unheilbare Form von Blutkrebs. Die Krankheit ist durch eine unkontrollierte Proliferation von malignen Plasmazellen im Knochenmark ...
Über die Gallengänge gelangt die von der Leber produzierte Gallenflüssigkeit in die Gallenblase, aus der sie bei Bedarf in den Zwölffingerdarm sezerniert werden kann.
Husten, der länger als acht Wochen anhält, gilt als chronisch. Etwa 5 bis 10 % der Erwachsenen leiden darunter, oft über viele Jahre bis Jahrzehnte.
So manche Expert:innen geben den veränderten Hygienebedingungen samt den industriell hergestellten Nahrungsmitteln die Schuld an der Zunahme von Colitis ulcerosa (CU). Aber so einfach ist es ...
Die akute myeloische Leukämie (AML) ist eine fortschreitende, maligne Erkrankung des blutbildenden Systems, die tödlich verlaufen kann. Etwa 4.000 Menschen erkranken in Deutschland ...
Myelofibrose (MF) ist eine seltene Erkrankung des Knochenmarks, bei der die normale Produktion von Blutzellen gestört ist. Als Ursache wird eine fehlerhafte Signalübertragung durch ...
Die Sichelzellkrankheit ist eine erbliche Blutkrankheit. Ihre Häufigkeit variiert stark zwischen verschiedenen Bevölkerungsgruppen, da ihr Auftreten eng mit der Verbreitung von Malaria ...
Palopegteriparatid (Yorvipath®) könnte Nachfolger von Natpar® werden, dessen Produktion von Takeda Pharma international eingestellt wurde.
Das Plattenepithelkarzinom des Ösophagus (esophageal sqaumous cell carcinoma, ESCC) ist eine aggressive Form von Speiseröhrenkrebs.
Das Immunsystem sorgt im Normalfall für ein fein ausbalanciertes Gleichgewicht zwischen immunologischer Aggression und Toleranz.
Hämatologische Neoplasien wie Lymphome, Myelome, akute und chronische Leukämien sowie myeloproliferative Erkrankungen machen einen signifikanten Anteil aller Krebserkrankungen aus – ...
Zu den vasomotorischen Symptomen (VMS) in der Menopause zählen Schwitzen, gerötete Haut, Beklemmung, Angst und anfallartiges Herzjagen mit einer Dauer von ein bis fünf Minuten.
Wachstumshormonmangel im Kindes- und Jugendalter hat eine geschätzte Prävalenz von 1 : 4.000–1 : 30.000.
Lysosomale Speicherkrankheiten sind eine Gruppe von etwa 45 erblich bedingten Stoffwechselkrankheiten, die auf eine gestörte Funktionalität der Lysosomen zurückzuführen ist.
Litfulo® dient zur Behandlung von schwerer Alopecia areata bei Erwachsenen und Jugendlichen ab 12 Jahren.
Sirane sind eine wachsende neue Wirkstoffgruppe. Es handelt sich dabei um kurze, doppelsträngige RNA-Moleküle. Ihr Wirkprinzip basiert auf einer RNA-Interferenz (RNAi). Dadurch wird die ...
Der klinische Krankheitsverlauf des multiplen Myeloms (MM) verläuft in höchstem Ausmaß variabel. Bei manchen Patient:innen tritt trotz Therapie eine rasche Verschlechterung ein, andere ...
Dem zuletzt vorgestellten RSV-Impfstoff Arexvy® (siehe ÖAZ 22/23) folgt in dieser Ausgabe mit Abrysvo® ein weiterer.
Mit der Zulassung von Arexvy® gibt es erstmalig einen Impfstoff zur Prävention von Infektionen mit dem Respiratorischen Synzytial-Virus (RSV). Die Impfung ist ab sofort verfügbar und dient ...
Herzinsuffizienz als Folge der Überlastung der linken Herzkammer kann verschiedene Ursachen haben. Eine Form der Insuffizienz war bisher nicht kausal behandelbar, nämlich die hypertrophe ...
Colitis ulcerosa (CU) ist eine leidvolle chronisch-entzündliche Darmerkrankung, über deren Ursachen man sich in der Fachwelt noch immer uneins ist.
Sunlenca® ist der erste Vertreter der neuen Wirkstoffklasse der Kapsid-Inhibitoren.
Die von der Europäischen Arzneimittelagentur (EMA) als Gentherapie benannte CAR-T-Zelltherapie ermöglicht eine spezifische immunologische Tumorantwort.
Zynlonta® dient zur Monotherapie des rezidivierten oder refraktären B-Zell-Lymphoms (DLBCL) bzw. des hochmalignen B-Zell-Lymphoms (HGBL) nach zwei oder mehr systemischen Behandlungslinien.
Der Antikörper Tremelimumab (Imjudo®) ist ein Checkpoint-Inhibitor gegen das hepatozelluläre Karzinom.
Erwachsene besitzen insgesamt rund zehn Billionen Zellen, pro Zelle schätzt man ähnlich viele Atome. Rund 500 eindeutig histologisch unterscheidbare Zelltypen sind am Aufbau des Körpers ...
Sotyktu® hemmt selektiv die Tyrosinkinase 2 (TYK2).
Tezepelumab ist ein monoklonaler Antikörper.
Daridorexant ist der erste duale Orexin-Rezeptor-Antagonist (DORA), der sowohl auf Orexin-1- als auch auf Orexin-2-Rezeptoren und mit gleicher Potenz auf beide wirkt.
Roclanda® senkt den Augendruck wirksamer als die Einzelkomponenten.
Das nach dem Kinderarzt Daniel Alagille benannte Syndrom ALGS ist die Folge von heterozygoten Mutationen in den Genen JAG1 (94 %) oder NOTCH2 (2 bis 4 %). Sind einzelne ...
Herpesviren haben sich im Rahmen ihrer Evolution so eng an die Menschheit angepasst, dass das menschliche Immunsystem – nach einem meist milden Erstinfekt – nicht mehr auf ihre ...
GPP steht für „generalisierte pustulöse Psoriasis“, eine heterogene und potenziell lebensbedrohliche, sehr seltene neutrophile Hauterkrankung. Sie wird auch Zumbusch-Psoriasis ...
Das Interessante an Filsuvez®-Gel ist weniger der enthaltene Naturstoff – Filsuvez®-Gel ist nämlich nichts anderes als ein sterilisierter, standardisierter Birkenrindenextrakt in Gelform ...
Einen sehr empfindlichen Hinweis für Myasthenia gravis (MG) liefern die extrinsischen Augenmuskeln: Nimmt ihr Tonus ab, so gehen die Augenlider der Betroffenen auf „Halbmast“ (okulare ...
Wegen seines dualen Wirkmechanismus wird Mounjaro® salopp auch als „Twinkretin“ bezeichnet.
Die chronisch myeloische Leukämie (CML) ist eine klonale myeloproliferative Erkrankung und lässt sich anhand transformierter hämatopoetischer Vorläuferzellen nachweisen. Charakteristisch ...
Unsere Sehleistung hängt weitgehend von der Integrität und Funktionalität des Sehsinns ab.
Das multiple Myelom (MM) beruht auf einer seltenen und unheilbaren Neubildung von malignen monoklonalen Plasmazellen.
Das follikuläre Lymphom (FL) ist eine Krebserkrankung des lymphatischen Systems, geprägt von einer langsam fortschreitenden Lymphadenopathie mit sehr variablem klinischem Verlauf.
Bei der Entwicklung von Krebstherapeutika entstand die Idee, immunologische Transportmoleküle für die benötigten Chemotherapeutika zielgerecht zu benützen. Sie sollten die Tumorzellen ...
Im Gegensatz zum Impfstoffsektor fehlen den oral anwendbaren, antiviralen Influenzapräparaten ähnliche Erfolge.
Die zwei Substanzklassen Ditane und Gepante sind das neueste Ergebnis der Migräneforschung.
Kürzlich haben mehrere Kinasehemmer zur personalisierten Therapie von Lungenkrebs die Zulassung erhalten: Lumykras® (Sotorasib), Tepmetko® (Tepotinib) und Tabrecta® (Capmatinib). Sie ...
Die Behandlung der Migräne beginnt in der ersten Stufe mit Analgetika (Prostaglandinhemmer). Sie haben „First-line“-Status bei leichter, akuter Migräne. Die analgetische Wirksamkeit ...
Zur Behandlung gastrointestinaler Stromatumoren (GIST) wird nach dem Tyrosinkinasehemmer Qinlock® nun Ayvakyt® vorgestellt.
Bei chronischen Nierenleiden tritt nach wiederholter Dialyse bei mehr als 60 % der Patientinnen und Patienten Juckreiz auf.
Gastrointestinale Stromatumoren (GIST) bilden sich nicht in der gastralen Schleimhaut (wie es bei gastralen Tumoren häufig der Fall ist), sondern im Binde- und Stützgewebe.
In den letzten Monaten sind mehrere neue Kinasehemmer zur personalisierten Therapie des nicht-kleinzelligen Lungenkarzinoms (NSCLC) am Markt erschienen: Lumykras® (Sotorasib), Tepmetko® ...
Das nicht-kleinzellige Lungenkarzinom (NSCLC) steht mit 84 % an der Spitze der Lungenkrebs-Subtypen.
Es gibt mehr als 150 Gründe dafür, dass das Wachstum im Kindes- und Jugendalter zurückbleibt.
Fenfluramin (z. B. Ponderax®) erlangte 1997 traurige Berühmtheit, als bekannt wurde, dass der Appetitzügler beim Langzeitgebrauch in höheren Dosen (täglich 60–120 mg) ...
Eine ausführliche Neubewertung der Migränebehandlung nimmt die AWMF-S1-Leitlinie „Therapie der Migräneattacken und Prophylaxe der Migräne“ vor, die vorerst bis Jahresende 2022 gültig ...
Die Ätiologie dieser schweren Autoimmunerkrankung aus dem Formenkreis der Kollagenosen ist noch unbekannt.
Die chronische Nierenerkrankung (chronic kidney disease, CKD) ist eine der häufigsten Komplikationen bei Diabetes mellitus und zugleich ein unabhängiger Risikofaktor für ...
Unter den sogenannten „Seltenen Krankheiten“ finden sich so manche, die chronifizieren. Dann wird eine entsprechende Dauertherapie unumgänglich.
In den „seltenen Leiden“ werden immer wieder außergewöhnliche Pharmakotherapien vorgestellt, welche Heilung bzw. Linderung bei hohen Kosten erwarten lassen. Tavneos® ist so ein Beispiel.
Das nicht-kleinzellige Lungenkarzinom (NSCLC, non-small cell lung cancer) als Überbegriff für Bronchialkarzinome vereint zahlreiche Subtypen unter einem Dach.
Ein Lungenkarzinom tritt hauptsächlich in zwei Kategorien auf: als nicht-kleinzelliges NSCLC (non small cell lung cancer; 85 %) und als kleinzelliges SCLC (small cell lung cancer, 15 %).
Xevudy® ist zur Behandlung von Erwachsenen und Jugendlichen mit COVID-19 indiziert, die keine Sauerstoffsupplementierung benötigen und ein erhöhtes Risiko für einen schweren ...
Die Atopische Dermatitis (AD) ist bekanntlich eine chronisch wiederkehrende, entzündliche Hauterkrankung, die von den Schlüsselsymptomen Juckreiz und Hauttrockenheit begleitet wird.
Vumerity® dient zur Therapie der schubförmig remittierenden Multiplen Sklerose (RRMS) in der Dosis von 2 x 2 Hartkapseln pro Tag und soll die gastrale Verträglichkeit verbessern.
Maligne Lymphome sind bösartige Neubildungen, die von lympathischen Zellen ihren Ausgang nehmen.
Dank beider Nieren verfügt der Organismus über einen sehr effektiven Filterapparat zur Aufrechterhaltung der Homöostase.
Die Coronavirus-Forschung hat bis heute Unglaubliches geleistet, wenn man bedenkt, dass erst am 20. März 2020 von der WHO die Pandemiewarnung erfolgte!
Psoriasis basiert auf einer chronischen Entzündung der Haut, mit erhöhtem Keratinozytenwachstum und ungenügender Differenzierung der Keratinozyten.
Die Neurofibromatose ist eine vererbbare, nicht kanzeröse, knotige Tumorbildung an den großen Nerven und den Nervenscheiden.
Unter „Neuromyelitis-optica-Spektrum-Erkrankungen“ (NMOSD, neuromyelitis optica spectrum disorders) versteht man eine Gruppe seltener Autoimmunerkrankungen des zentralen Nervensystems.
In der EU leben 520 Millionen Menschen, von denen statistisch gesehen 4.000 bis 5.000 an der genannten, medikamentös nicht behandelbaren, genetisch bedingten Lebererkrankung leiden.
Eine demyelinisierende Entzündung führt bei der Multiplen Sklerose (MS) zum Verlust von Neuronen und Dendrozyten bei gleichzeitig gesteigerter Durchlässigkeit der Blut-Hirn-Schranke.
Bei Herzinsuffizienz (HI) mit verringerter Auswurfleistung verschlechtert sich der Gesundheitszustand beträchtlich, besonders bei rehospitalisierten Herzpatienten, deren Zustand trotz ...
An Gebärmutterkrebs erkranken Frauen v. a. in der Postmenopause. Unter den Risikofaktoren finden sich Alter, Übergewicht, Diabetes mellitus Typ 2, keine Schwangerschaften, späte Menopause, ...
Eine Grippeschutzimpfung gegen die jährlichen Influenzawellen verleiht bis dato den besten Schutz. An zweiter Stelle steht die Neuraminidasehemmung. Eine zusätzliche orale, antivirale ...
Beim hereditären Angioödem (HAE) ist die Schwellung das Kardinalssymptom.
Das Cholangiokarzinom (CCA) ist z. B. in den USA und Großbritannien eine äußerst seltene Krebsform, die den Gallen-gang befällt.
Epileptiker sind allgemein weniger gesund und oft intellektuell benachteiligt.
Dank der aktuellen biologischen Detailkenntnisse der Tumorentstehung und -ausbreitung ist es möglich geworden, noch selektivere Arzneimittel zu entwickeln.
In Deutschland leidet rund eine halbe Million Frauen an Brustkrebs, von denen 30% jünger als 55 Jahre sind.
Eine brandneue S2K-Leitlinie der Arbeitsgemeinschaft der wissenschaftlichen medizinischen Fachgesellschaften (AWMF) beschäftigt sich mit der „Diagnose und Therapie der Multiplen ...
Das lymphatische System ist kein singuläres Organ, sondern dezentral im Körper verteilt. Multiples Myelom (MM) bezeichnet einen Tumor, der bestimmte weiße Blutzellen – auch Plasmazellen ...
Das Nierenzellkarzinom (RCC) ist an Nierentumoren zu 90 bis 95 % beteiligt.
Psychiatrische Störungen haben eine medizinische und eine gesellschaftliche Komponente. Beide sollten in der Apotheke zum Thema werden.
© 2025 Österreichische Apotheker-Verlagsgesellschaft m.b.H.